Lower anterior teeth implantation
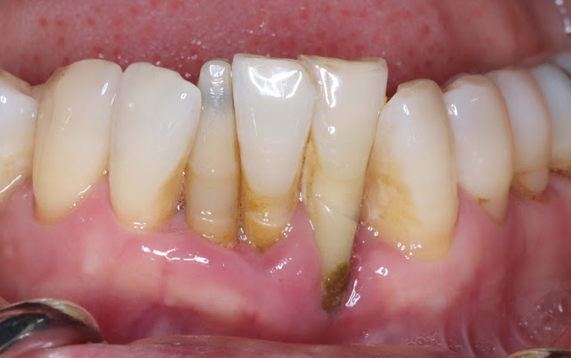
This is a 64-year-old female patient.
The condition of the lower anterior teeth is poor.
First, the tooth was extracted and waited for about 3 months.
CT findings before and after tooth extraction.
Bone grafting was performed simultaneously on the buccal side using allogeneic bone, xenogeneic bone, and absorbable membrane.
This is a postoperative radiograph.This is an intraoral photo about 1 year after surgery.













 
 
 
Comments
Post a Comment