Case of using SBA implant by OSSTEOBIONICS
I am currently a 55-year-old male.My oral condition has worsened over the past four years. She planned extraction of the entire maxilla and fixed prosthetics using implants.
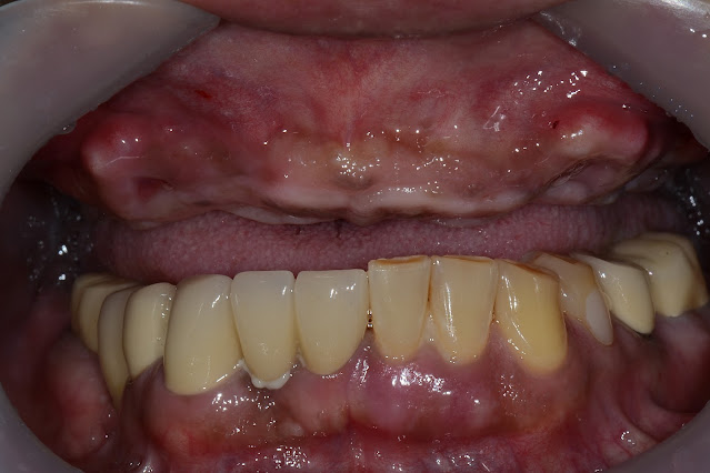
First, the tooth was extracted and a temporary denture was installed. Looking at the healing pattern. Loss of buccal alveolar bone is seen. The inferior basilar bone is rather exostotic. There appears to be sufficient bone mass available.
OssteoBionics' SBA implant was placed and submerged.We were able to obtain sufficient initial fixation for fixed temporary prosthesis.To evaluate the bone response of the SBA implant, a two-stage surgery was performed. Autogenous bone, xenogeneic bone, and synthetic bone were transplanted into the surrounding defect area.
This is what it looks like after the second surgery.
The bone response is very good, all bone graft materials used were well maintained around the implant.
This is what it looks like after the final prosthetics. I am a little dissatisfied with the shape of the soft tissue in the upper central incisor area.The patient has no complaints at all. I decided to watch for a bit.
Representative director Eom Min-yong
Biographical Introduction
Department of Oral and Maxillofacial Surgery, Gachon University Gil Hospital
Oral and Maxillofacial surgeon
Regular member of the Korean Oral and Maxillofacial Implant Society
Former clinical professor and head of dental department at Kwandong University Myongji Hospital
Former adjunct professor at Gachon University Gil Hospital
Master of Medicine, Gachon University













 
 
 
Comments
Post a Comment