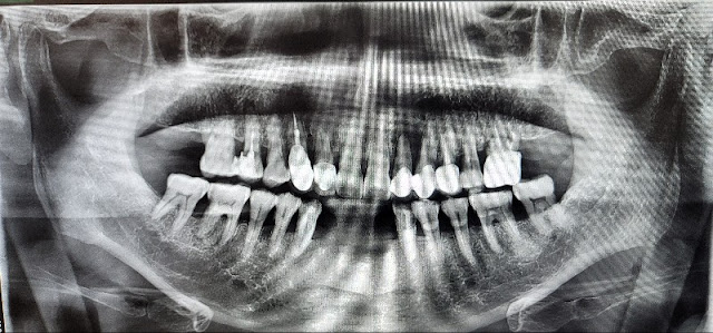
4th mandibular incision case
This is the 4th mandibular incision.
This is a case where the patient does not have high aesthetic demands and is therefore satisfied.
Since someone has inquired, I am showing the procedure for accessing the instrument when opening the maxillary sinus. Most of you already know this.















Comments
Post a Comment