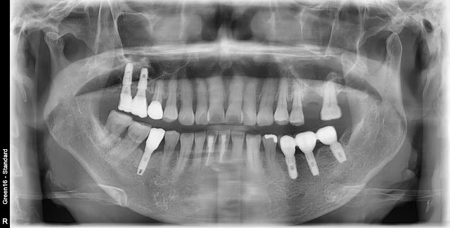
Tooth extraction due to periodontal disease
This year's patient is a 67-year-old woman.
The maxillary left first molar was extracted due to periodontal disease.
A photo taken approximately 3 months after the extraction.
Despite the limited remaining bone, I have decided to proceed with a crestal approach for implant placement.
Here is a photo immediately after the surgery.








Comments
Post a Comment