When there is damage to the alveolar bone
The patient is a 44-year-old male.He is considering implant placement in area 16, but there is significant damage to the alveolar bone.In this case, socket preservation was performed simultaneously with the extraction.The pre-extraction condition.I have confirmed the pre-extraction condition. Symptoms of periapical infection are evident, and the maxillary sinus membrane appears to be thickened.
The pre-operative condition is shown here. The thickening of the maxillary sinus membrane appears to have disappeared. Based on this level of healing, it seems that a crestal approach implant placement may be feasible.
The post-operative condition after crestal approach implant placement and bone grafting.
In approximately 2 months post-operation, here is the picture.
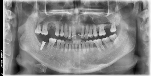
This is a radiograph taken during scanning
Here is the picture taken during the surgery.
Crestal approach was used for maxillary sinus lift, and simultaneous contouring augmentation was performed on the contralateral side.
I used Collacera during this procedure.
Here is the picture after suturing.
These days, even if the thread is not exposed after implant placement, there seems to be an increasing trend of performing contouring augmentation on the contralateral side if necessary.
Q: You mentioned using bone grafting and collagen membrane during the initial extraction. 
Was the purpose of the membrane mainly to cover the extraction site?
Also, the Collacera you used seems to be a form where bone and collagen are mixed, similar to a bone plug. Wasn't it used for preservation purposes during the extraction?
A: During the extraction and preservation procedures, I mainly use a graft material that consists of a mixture of collagen and bone.
However, I do not use this type of graft material for extraction and preservation.
Instead, I use a collagen plug as a resorbable barrier. Personally, I feel that the bone formation rate is slower with the graft material consisting of a mixture of collagen and bone.















 
 
 
Comments
Post a Comment